Hampaiden ulkonäköä voi parantaa usealla eri tavalla. Nuorilla aikuisilla suurin häiritsevä asia on usein aavistuksen vinossa ja ahtaalla olevat hampaat jotka häiritsevät hymyillessä. Hammasrivi on usein aavistuksen ahtautunut ja oikeana hoitona on tällöin melkein poikkeuksetta oikominen. Tutkimusten mukaan etuhampaiden ahtautuminen myös johtaa niiden iän myötä niiden kulumiseen (1). Mitä aikaisemmassa vaiheessa asiaan puututaan, sitä pienemmällä vaivalla (ajallisesti ja rahallisesti) tilanteesta selvitään.
Hampaita voi nykyään suoristaa muullakin tavalla kuin lapsuuden telaketjuraudoilla. Invisalign -osiosta löytyy kattavampi tietopaketti nykyaikaisesta 3D mallinnukseen perustuvasta oikomisesta. Oikomisen ei tarvitse kestää vuosia, jo kuudessa kuukaudessa hampaistoon saadaan huomattavia muutoksia aikaan. Oikomiseen jälkeen hampaat usein valkaistaan. Hampaat ovat usein nuorilla aikuisilla pääasiallisesti hyvässä kunnossa ja pienet kosmeettiset symmetriavirheet tai kulumat voidaan korjata esteettisillä kerrostusmuoveilla juurikaan koskematta poralla hampaisiin.
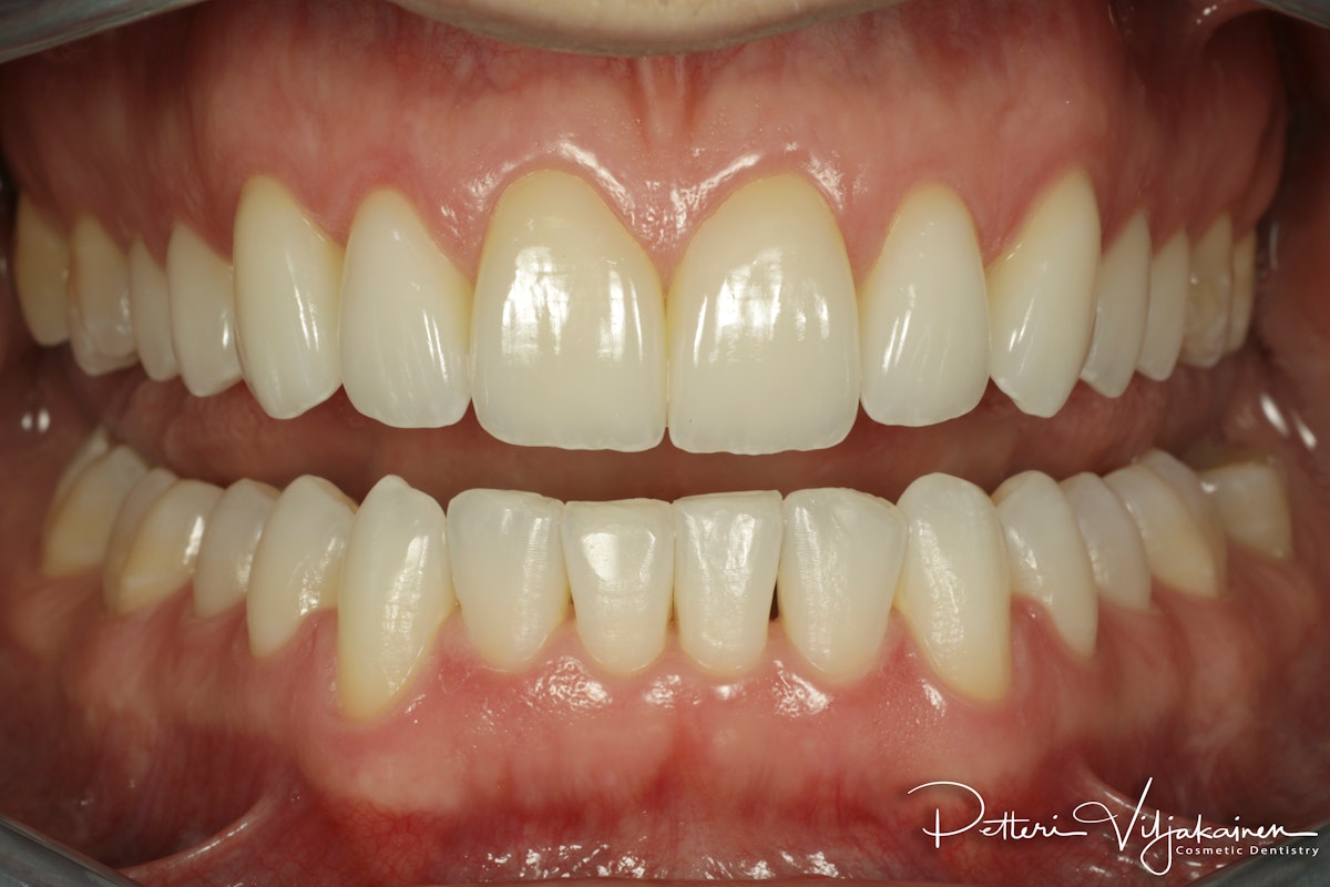
Joskus (etu)hampaissa on synnynnäisiä värivirheitä, vanhoja värjäytyneitä paikkoja tai hymyyn halutaan vaan saada lisää näyttävyyttä ja viedä se lähemmäksi täydellistä hymyä. Tässä tapauksessa hampaat voidaan pinnoittaa joko muovilla tai keramialla/posliinilla. Tällöin puhutaan hammaslaminaateista. Laminaatit kiinnitetään tiukasti omien hampaiden pintoihin ja pystytään valmistamaan, varsinkin jos pulleutta lisätään, hyvin vähäisellä omien hampaiden poraamisella. Keraamisia laminaatteja tehdään yleensä 4-6 yläetuhampaaseen, kerrostusmuoveilla 8-10 hampaaseen. Parhaat laminaatit eivät näytä vitivalkoisilta keinotekoisilta sokeripaloilta vaan luonnollisen kauniilta omilta hampailta.
Joskus hampaissa on pieniä vaaleita läiskiä eli hypoplasioita usein muistona lapsuuden kiinteiden oikomiskojeiden jäljiltä. Niitä voidaan hoitaa uudella hampaiden käsittelyllä (resiini-infiltraatio) hampaita poraamatta.
Puuttuvia hampaita korvatessa on ratkaisuna nykyään useimmiten keinojuuri eli hammasimplantti sekä implantin päälle valmistettava implanttikruunu. Hammassiltoja tehdään nykyään vähemmän, koska nykyisen tutkimustiedon valossa hampaita joudutaan tällöin poraamaan kohtuuttoman paljon ja tämä johtaa isolla prosentilla 5-10 vuoden kuluttua tukihampaiden juurihoitoihin ja pidemmällä aikavälillä pahimmassa tapauksessa tukihampaiden poistoihin.
Oleellisimpana esteettisen hammashoidon toimenpiteenä on kuitenkin hampaiden perusteellinen puhdistus ja niiden valkaisu ennen mitään yllä olevaa toimepidettä. Oikomisessa valkaisu jätetään usein hoidon loppupuolelle.
Yle Areenasta on kuunneltavissa Yle Radio Suomen haastattelu esteettisestä hammashoidosta. Haastatteluun pääset tästä.
Emilia Turtiaisen podcast: "Suun ja muun kuulumiset" aiheena esteettinen hammashoito löytyy Spotify:sta tästä.
Alla kuvaukset yleisimmistä esteettisessä hammashoidossa käytettävistä hoitotoimenpiteistä.

Moni miettii sitä, kuinka monen hampaan muotoa tai väriä tulevalla hoidolla pitäisi muuttaa? Vastaus on että jos purenta ei muuta vaadi, niin ainoastaan kaikkia niitä hampaita, jotka näkyvät hymyillessä. Toisilla hymyillessa hampaista näkyy vain muutama, toisilla hymy on leveämpi paljastaen lähes kaikki hampaat.
Pidemmälle kuluneissa purennoissa pitää hoitaa usein joko kaikki yläleuan tai sekä ylä- että alaleuan hampaat, jotta menetetty hammaskudos saadaan palautettua ja lopputuloksessa etuhampaat ovat mittasuhteiltaan hyvän näköiset. Purennoissa, joissa huomattavaa kulumista ei ole, ensisijaisena vaihtoehtona on aina oikominen. Korjaava hoito (esteettiset muovit, keraamiset kuoret) täydentää oikomisen viimeistelyn.
Potilaan näkökulmasta hyvän esteettistä hammashoitoa tekevän hammaslääkärin valinta voi olla haastavaa.
1. Hinta on aina yksi isoimmista valintaan vaikuttavista tekijöistä. Se ei kuitenkaan kerro laadusta aivan kaikkea. Periaate on että hyvää ei saa halvalla, eli ei ehkä kannata valita halvinta vaihtoehtoa. Kompromisseja tehdään silloin joko käytettävien materiaalien laadussa ja/tai tekijän kokemuksessa. Pitkässä juoksussa laadusta tinkiminen tulee usein kalliimmaksi kuin kerralla kunnolla tehty työ.
2. Arvostelut paikasta. Google -arvostelut on aika hyvä mittari. Siellä ihmiset antavat arvosteluja omalla nimellään ja rekisteröitynä. Ostetut arvostelut erottuvat aika nopeasti.
3. Hyvä tapa arvioida tekijän ammattitaitoa, on ennen / jälkeen kuvat. Näitä kannattaa etsiä hammaslääkärin nettisivuilta / sosiaalisesta mediasta. Kokeneella tekijällä on näyttää useampi eri potilastapaus juuri samantapaisesta hoidosta jota sinulle ollaan suunnittelemassa. Mitä paremmat kuvat, yleensä sitä perusteellisempi hammaslääkäri ja työn jälki.
4. Hammaslääkärin suorittamat erilaiset akkredioinnit kansainvälisiin esteettisen hammashoidon akatemioihin (tunnetuimpana AACD eli American Academy of Cosmetic Dentistry) ovat laadun tae hammaslääkärin erikoisosaamisesta ja taidoista esteettisen hammashoidon saralla.
5. Paras hammaslääkärin valintaperuste on kuitenkin aina jonkun tuttavan omakohtaiset kokemukset ja suosittelut tekijästä. Ei vastaanotosta, vaan itse hammaslääkäristä.
6. Viimeisenä listalle voisi nostaa asiakkaan kokemuksen hoidosta kokonaisuutena. Nykyään on yleistymässä että varsinkin Invisalign -hoidoissa kontrolleja hammaslääkärille on vain muutama koko hoidon aikana ja ne ovat kestoltaan lyhyimmillään 15min / käynti. Jos näet hammaslääkäriä koko hoidon aikana yhteensä vain muutaman kerran niin hoidosta voi jäädä jonkin verran hämmentävä kokemus. Oikomishoidot ovat kuitenkin seurannan ja retention kannalta koko loppuelämän hoitoja ja kunnollista pidempää hoitosuhdetta on muutamassa tunnissa vaikea rakentaa.
Se riippuu miltä kantilta asiaa tarkastelee. Toisille se on turhanpäiväistä tarpeetonta luksusta. "Juurihoidoilla ja hampaiden paikkauksilla torjutaan infektioita mutta hammaslaminaatit ja oikominen aikuisiällä ovat ainoastaan ulkonäköä varten". Tässä ajatusmaailmassa esteettinen hammashoito on rahojen tuhlaamista...
Mutta entä jos asialla on toinenkin puoli?
Entä jos kaunis hymy, tai sen puuttuminen, vaikuttaakin itsetuntoon. Onko se turhamaista korjata se yksi asia joka on vuosikausia estänyt henkilöä hymyilemästä vapautuneesti ilman että joutuu miettimään voiko suuta avata hymyillessä. Eikö olisi kiva hymyillä niin että hampaatkin näkyvät?
Tutkimuksissa, joissa ihmisten hampaita ja hymyjä muokataan kuvankäsittelyllä ja annetaan muiden ihmisten arvioida kuvien henkilöitä, todetaan että kaunis hymy saa ihmisen näyttämään mm: Puoleensavetävämmältä, älykkäämmältä, iloisemmalta, menestyneemmältä työelämässä, ystävällisemmältä, kiltimmältä, varakkaammalta ja suositummalta vastakkaisen sukupuolen silmissä. Mitä parempi itsetunto, sitä rohkeampia asioita sitä uskaltaa tehdä elämässä.
Hyvin asian kiteyttää asiakkaaltani saama palaute: "Kävin Petterin luona Invisalign-oikomishoitokonsultaatiossa, sillä etuhampaani olivat teini-ikäisestä saakka olleet todella vinossa ja osittain toistensa päällä. Hampaideni vuoksi olin itsestäni epävarma, ja välttelin jatkuvasti hymyilemistä suu auki. Uusia ihmisiä tavatessani pelkäsin heidän ensimmäiseksi huomaavan vinot hampaani. Toivoin siis oikomishoidolla ensisijaisesti esteettistä muutosta, vaikka oikomishoidon myötä myös viikoittaiset päänsäryt katosivat. Kuitenkin suurin ja tärkein muutos, joka oikomishoidosta minulle seurasi, on itseluottamuksen koheneminen. Enää en arastele olla oma hymyilevä itseni, minkä ansiosta onnistuin muun muassa etenemään urallani asiantuntijasta suuren yrityksen johtotason tehtäviin. Omalla kohdallani olen siis erittäin tyytyväinen, että päädyin oikomishoitoon; se todella maksoi itsensä takaisin moninkertaisesti!"
Jotenkin alkaa kuulostamaan että esteettisessä hammashoidossa on sittenkin järkeä.
Can a New Smile Make You Look More Intelligent and Succesful?
Dent Clin N Am 51 (2007) 289–297
lähteet:
1. Stability and relapse of mandibular anterior alignment: University of Washington Studies
Seminars in orthodontics. Volume 5, Issue 3. September 1999, Pages 191-204
Olen pelkästään esteettiseen hammashoitoon keskittynyt hammaslääkäri, kansainvälinen kouluttaja sekä luennoitsija. Otan vastaan asiakkaita eSmile:n Espoon vastaanotolla Kauppakeskus AINOAssa.
©Petteri Viljakainen