Kun halutaan paikattuihin, kooltaan pieniin, kuluneisiin tai värivirheitä sisältäviin hampaisiin mahdollisimman pitkäkestoinen lopputulos, puhutaan silloin käsityönä tehdyistä keraamisista hammaslaminaateista.
Laminaatit tehdään aina yksilöllisesti potilaan toiveiden mukaan. Väriin ja muotoon voi, ja pitääkin asiakkaan saada vaikuttaa.
Tavoitteenani on lähtökohtaisesti tehdä niistä mahdollisimman luonnollisen näköiset niin että ne sulautuvat asiakkaan hymyyn.
Laminaatteja pyritään tekemään hampaisiin pareittain. Normaalisti ne tehdään neljään tai kuuteen yläetuhampaaseen. Mitä useampaan hampaaseen laminaatit tehdään, sitä enemmän väriin voi vaikuttaa ilman että ne nousevat tehtyinä esiin hymyillessa. Tästä syystä hampaat myös lähes aina valkaistaan ennen laminaattien tekoa.
Kaikissa sivun potilastapauksissa käsityöstä keramialla on vastannut hammasteknikkomestari (HTM, EHT) Aki Linden keramia-tiimeineen.

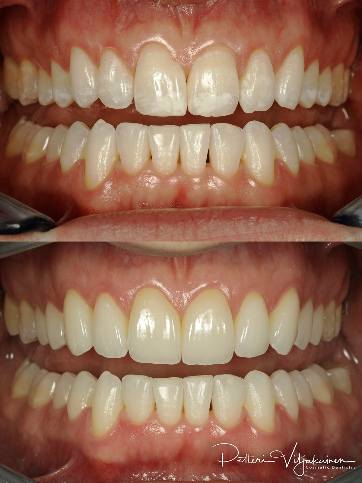
Keraamiset hammaslaminaatit kymmenessä ylähampaassa

Sama tilanne hymyillessä.

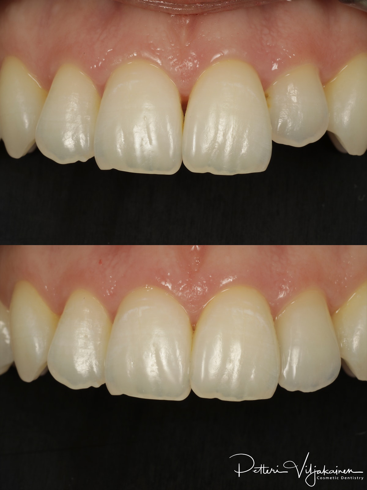
Yksittäinen keraaminen hammaslaminaatti reunimmaisessa yläetuhampaassa

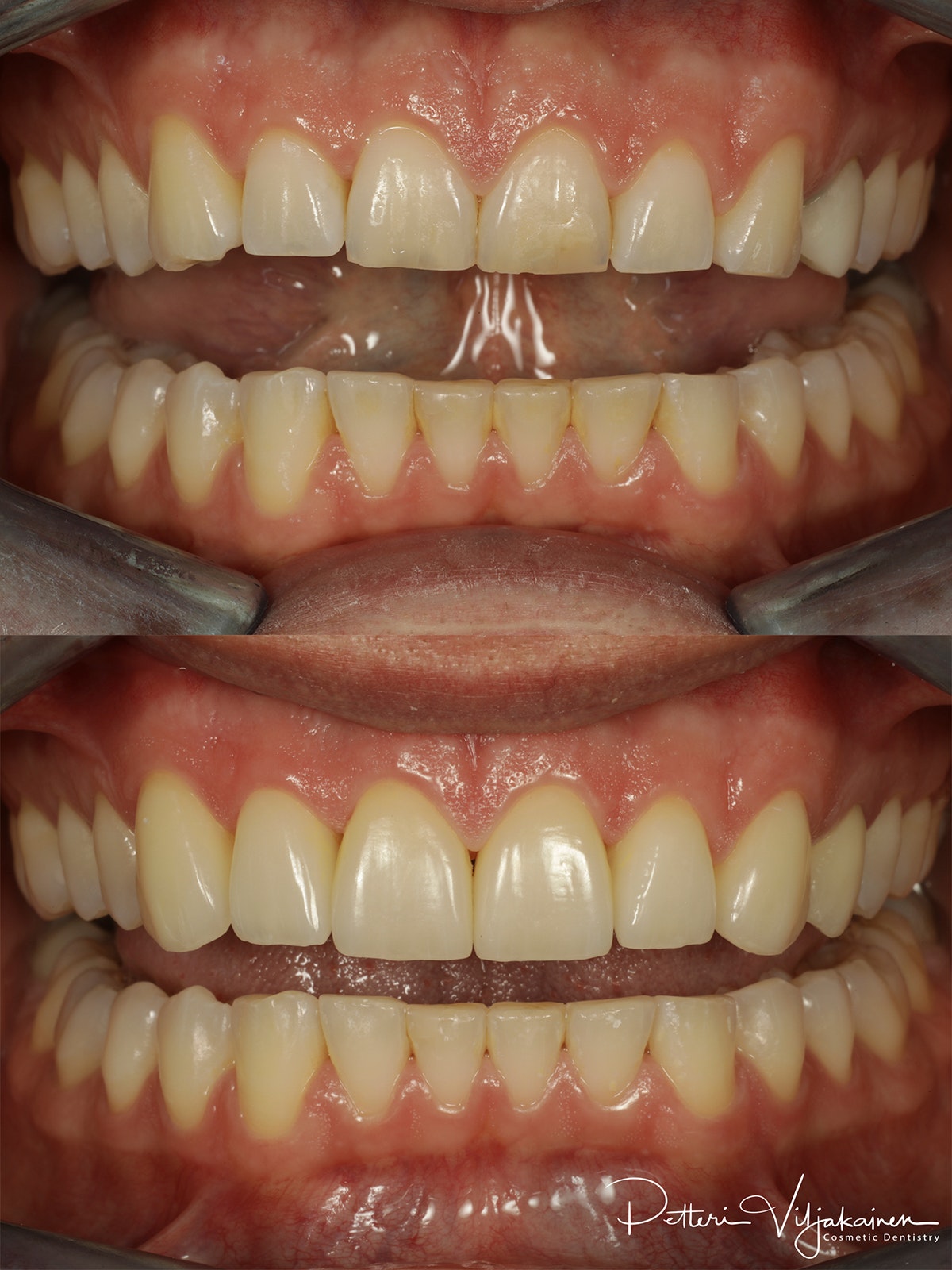
Hymykuva
Jälkimmäinen potilastapaus julkaistiin myös Yhdysvaltalaisessa American Academy of Cosmetic Dentistryn (AACD) julkaisemassa lehdessä Journal of Cosmetic Dentistry:ssä (JCD). Lehti on maailmanlaajuisesti yksi esteettisen hammashoidon arvostetuimmista julkaisuista. Artikkelin löydät sivun lopusta.
Parhaat laminaatit ovat aina taitavan hammasteknikon taideteoksia. Hammaslääkäri rooli on vastata kommunikoinnista asiakkaan kanssa jotta haluttu lopputulos saavutetaan, suorittaa hoito minimaalisen invasiivisesti eli mahdollisimman vähän hampaisiin poralla kajoten sekä siitä että hammasteknikolla on riittävästi tilaa hampaiden ympärillä mittasuhteiltaan oikean mallisten laminaattien tekemiselle.
Luotettavin laadun tae on hammaslääkärin osaamisesta laminaatihoidoissa on hänen suorittamansa akkredioinnit kansainvälisiin esteettisen hammashoidon akatemioihin. Niissä hammaslääkäri on joutunut tehtyjen ja dokumentoitujen potilastapausten muodossa antamaan oman ammattitaitonsa äärimmäisen kriittisen kokeneista hammaslääkäreistä koostuvan paneelin arvioitavaksi. Jos tapaukset läpäisevät tämän seulan (erityisesti AACD eli American, Academy of Cosmetic Dentistry), on hammaslääkäri ammattitaidollaan saavuttanut tietyn pisteen joka on tae hänen tekemiensä töiden laadusta. Yksi tällainen esimerkkitapaus löytyy sivun lopusta.
Toinen asia ovat hammaslääkärin ennen / jälkeen -kuvat laminaattihoidoista. Jos kuvia ei löydy nettisivujen galleriasta / sosiaalisesta mediasta niin matka jatkuu. Piste. Laminaattihoitoja säännöllisesti tekevät hammaslääkärit ovat taiteilijoita, jotka esittelevät mielellään tekemiään hoitoja ja osaamistaan. Kannattaa kiinnittää huomiota kuvissa laminaattien ulkonäköön. Laadukkaat laminaattihoidot ovat pitkälle hiottua tiimityötä hammaslääkärin ja osaavan hammasteknikon välillä. Jokaisella hammasteknikolla on oma käsialansa laminaattien suhteen, aina mieltymykset tai haluttu tyyli eivät kohtaa ja kyse ei välttämättä ole työn laadussa. Usein ennen / jälkeen -kuvien hyvä laatu korreloi myös aika luotettavasti lopputuloksen laadun kanssa.
Sillä, onko tekijä hammaslääkäri vai erikoishammaslääkäri, ei ole lopputuloksen kannalta merkitystä. Esteettisistä laminaattihoidoista ei opeteta Suomessa hammaslääketieteen / erikoishammaslääketieteen koulutuksessa kuin perusteet. Perusteellinen oppi pitää hakea ulkomailta kansainvälisistä koulutuksista.
Alla olevissa kuvissa on eri mallisia ja värisiä laminaatteja, joista yksikään ei ole täysin samanlainen toisen potilaan kanssa. Kaikki niistä on tehty sulautumaan luonnollisen näköisesti ympäröiviin hampaisiin, hymyyn sekä kasvojen mittasuhteisiin. Tämä on taito jota on vaikea oppia. Kyse on hammaslääkärin esteettisestä silmästä jota joko luonnostaan on, tai sitten ei.
Yhteistyö Teknikkoni (Aki Lindén) kanssa on alkanut vuonna 2009, olemme tästä asti pyrkineet jatkuvasti kouluttautumaan eri tekniikoista ja materiaaleista sekä kehittämään yhteistyötämme saumattomaksi.
Se mitä konsultaatiossa kannattaa kysyä on miten ja missä ja kenen toimesta tulevat laminaatit valmistetaan. Eli:
Se, mikä kiinnostaa potilaita aina eniten on: Pitääkö hampaat hioa pieniksi tikuiksi laminaatteja varten?
No ei!
Keramia materiaalina tarvitsee ympärilleen jonkun verran tilaa. Oikein tehtyinä hampaita joudutaan hiomaan äärimmäisen vähän. Laminaattien paksuus on normaalisti ulkopinnalla n. 0.3-0.7mm ja hampaan kärjessä n. 1.0-1.5mm. Jos hymyyn tuodaan lisää näyttävyyttä ja hampaiden kokoa kasvatetaan kuorilla, ne pystytään joskus tekemään ns. no prep, eli koskematta poralla hampaisiin.
Keraamisen hammaslaminaatin paksuus määräytyy aina sen mukaan kuinka paljon omien hampaiden väriä halutaan niillä muuttaa. Tämän takia hampaat usein valkaistaan ennen hoitoa. Mitä vähemmän omien hampaiden väriä halutaan muuttaa, sitä ohuempina lamitaatit voidaan tehdä.
Oikomista (Invisalign -kalvoilla) käytetään usein korjaamaan pieniä asentovirheitä, esimerkiksi ahtautta hammaskaarilla, ennen hoitoa jotta hampaita jouduttaisiin laminaatteja varten hiomaan mahdollisimman vähän.
Kruunu on eri asia kuin laminaatti. Paikkaamattomien etuhampaiden kohdalla puhutaan ainoastaan laminaateista! Jos hampaita hiotaan liikaa, esimerkiksi kruunuja varten, on olemassa iso riski että ne 5-10 vuoden kuluttua joudutaan juurihoitamaan koska niitä kruunuja tehtäessä hiottiin liikaa. Oireet tulevat esiin petollisesti vasta muutaman vuoden päästä. Tästä seuraa usein juurihoitojen ja kruunujen uusimisien vuosien kierre joka päättyy lopulta pahimmassa tapauksessa hampaiden poistoihin ja korvaamiseen implanteilla... Tämä on kierre johon ei kannata lähteä! Kotiläksyt kannattaa tehdä kunnolla ennen hoitoon lähtöä.
Kruunuja tehdään juurihoidettuihin ja reippaasti paikattuihin hampaisiin, niiden tekeminen ei missään nimessä ole väärin. Paikkaamattomien etuhampaiden kohdalla puhutaan kuitenkin ainoastaan laminaateista.
Alla tyypillinen hiontatarve laminaattia varten. Mitä enemmän hampaita pullistetaan ja hymyyn tuodaan näyttävyyttä, sitä vähemmän omia hampaita tarvitsee hioa. Tavoite on aina ettei hampaan uloimmasta kerroksesta eli kiilteestä mentäisi juurikaan poraamalla läpi. Kiille on se osa hampaasta, johon laminaateilla saa lujimman sidostuksen aikaan ja tätä kautta myös mahdollisimman pitkäkestoisen lopputuloksen. Jos hammas hiotaan kruunuksi, iso osa kiillettä menetetään ja kiinnitys tapahtuu pääasiassa hampaan sisempään kerrokseen dentiiniin eli hammasluuhun. Sidostus itse hampaaseen on tällöin heikompi.
Case 1.
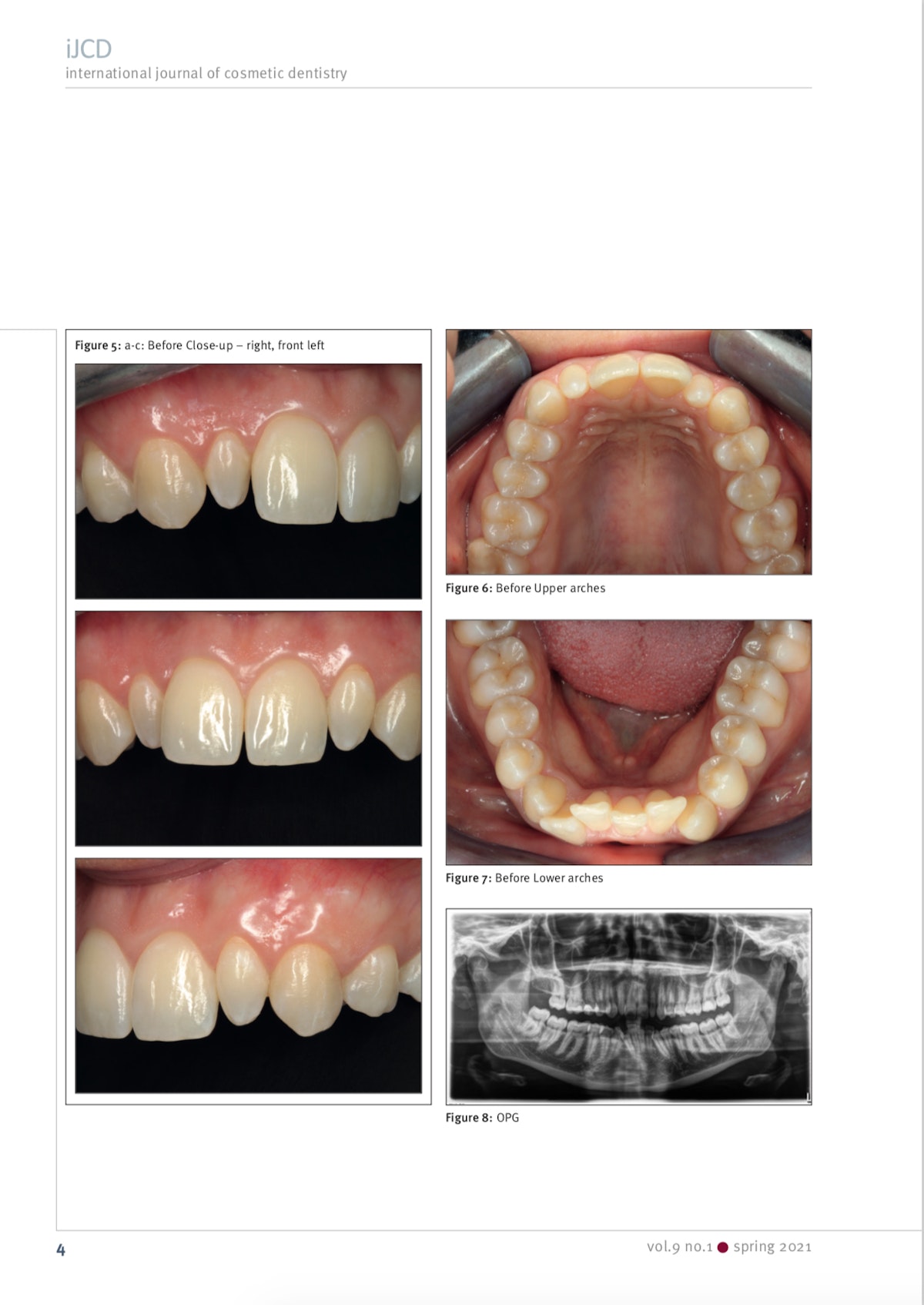
Alkutilanne
Hiottu hammas kuorta varten. Ikenen alla on tumma ienlanka kontrolloimassa kosteutta jäljennöstilanteessa.
Valmis kuori sementoituna.
Case 2
Ja syy sille miksi oikomista Invisalign -kalvoilla käytetään usein ennen laminaattihoitoja. Alla oleva hoito olisi ollut ehkä toteutettavissa ilman oikomistakin, mutta hampaita olisi silloin pitänyt hioa kohtuuttoman paljon. Oikomisella purentaa on parannettu, saatu purentavoimat jakautumaan hampaistossa oikein ja tätä kautta lopputuloksesta mahdollisimman pitkäkestoinen.
1. Alkutilanne ennen oikomista
2. 6kk Invisalign -hoidon jälkeen
3. Hampaat hiottuna kuoria varten
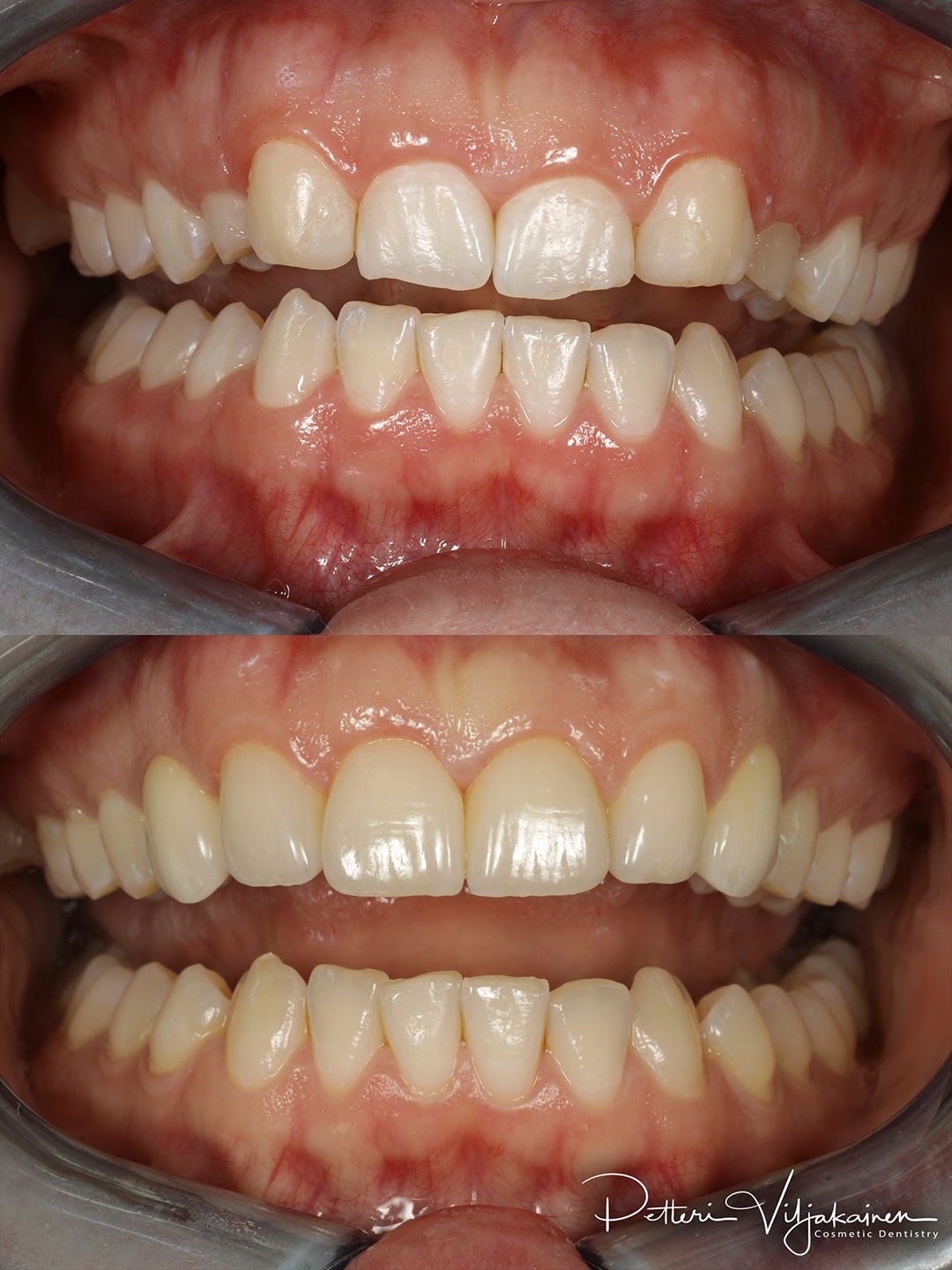
4. Keraamiset hammaslaminaatit kymmenessä ylähampaassa
Laminaatteja on olemassa erilaisia. Erot tulevat siitä miten ja missä ja kenen toimesta tulevat laminaatit valmistetaan
Useilla vastaanotolla mainostetaan edullisempia saman päivän aikana CAD/CAM -tekniikalla valmistettuja laminaatteja, usein vielä jonkun näköisellä Offerilla -pakettitarjouksella. Näiden ongelmana on usein huonompi istuvuus hiotun hampaan päälle hyvän teknikon tekemiin kuoriin verrattuna. Laminaatin ja hampaan välinen sauma on pitkässä juoksussa se laminaatin heikko kohta. Mitä isompi väli on, sitä helpommin laminaatit alkavat muutaman vuoden kuluttua saumoista värjäytymään. Ulkonäkö on usein myös yksisävyisempi verrattuna käsityönä kerros kerrokselta rakennettuihin laminaatteihin, joissa kerrostustekniikalla saadaan niihin luonnollisempi lopputulos ja läpikuultavuus. Tiedän tämän kokemuksesta, koska olen urani alkuvaiheessa tehnyt tällä tekniikalla useita satoja kuoria. Kokemuksen karttuessa olen kuitenkin huomannut kuitenkin selvän eron hyvän teknikon käsityönä tekemiin kuoriin, eikä paluuta vanhaan enää ole.
Jos laminaatit valmistetaan saman päivän aikana on asiakkaan kannalta aika sattuman kauppaa mikä lopputulos on. Ne tulevat tulevaisuudessa joka aamu peilistä vastaan ja vaikka hammaslääkäri / teknikko olisi kuinka hyvä niin rajatonta luottoa ei kannata tässä tapauksessa antaa. Jokainen asiakas haluaa loppupeleissä vaikuttaa siihen miltä lopputulos näyttää. Väliaikaisten laminaattien yksi tarkoitus on havainnollistaa tämä ja mahdollistaa mahdollisimman haluttu lopputulos sekä värin että muodon suhteen. Tavoitteenani on että asiakas tapaa teknikon henkilökohtaisesti kun hampaissa on väliaikaiset laminaatit. Tässä vaiheessa tulevien hampaiden muotoon ja väriin voi vielä vaikuttaa.
Keraamisen laminaatin vahva ydinosa on tehty Lithiumdisilikaatista ja kaikki näkyvä osa on esteettisesti parhainta lasikeramiaa. Joissain erittäin ohuissa rakenteissa maasälpäkeramia on optisilta ominaisuuksiltaan paras vaihtoehto parhaan esteettisen lopputuloksen saavuttamiseen.
Nykyään on tavallista että hammaslaboratorio sijaitsee ulkomailla, josta materiaalit sekä työn saa halvemmalla. Ulkomaalaisissa isommissa laboratorioissa harvoin on yhtä tiettyä teknikkoa, jonka kanssa yhteistyötä voi tehdä joka saa aikaan sen, että töiden laatu myös vaihtelee jonkin verran. Poikkeuksia tähän sääntöön on luonnollisesti olemassa, usein hammaslääkäri osaa kertoa ulkomaalaisen hammasteknikon nimen ja Googlaamalla saa aika helposti työn laadun selville. Kannattaa noudattaa samaa linjaa kuin muissakin ostoksissa elämässä: Yhdysvalloista ja läntisen Euroopan maista saa tilattua todennäköisesti keskimäärin laadukkaampia, hyvin testattuja ja turvallisempia tuotteita kuin Kiinasta, Aasiasta tai Baltian maista. Kuka tahansa netin kautta jotain joskus Kiinasta tilanneena tietää että toimitettu tavara ei ole aina laadultaan ihan sitä mitä oli tilattu. On käytännössä mahdotonta tietää, eri mainostetuista sertifikaateista huolimatta, mitä sieltä tilatut materiaalit loppujen lopuksi pitävät sisällään. Sama pätee hammashoidossa käytettäviin materiaaleihin.
Tekemäni laminaatit valmistetaan alusta loppuun Suomessa Hammasteknikkomestari Aki Lindénin ja hänen keramiatiiminsä toimesta. Valtaosa laminaateissa käytettävistä materiaaleista tulee suoraan markkinoiden johtavalta hammaskeramiamateriaalien valmistajalta Ivoclar Vivadent -nimiseltä yhtiöltä. Materiaalit ovat valmistettu yhtiön omalla tehtaalla Schaanissa, Lichtensteinissa. Toimimme yhdessä Aki Lindénin kanssa yhtiössä Opinion Leader -nimikkeillä heidän kansainvälisinä kouluttajina sekä luennoitsijoina.
Laminaatit kiinnitetään hampaisiin äärimmäisen pitävällä muovisementillä. Normaalisti hammaslaminattien elinikä on n. 15-25 vuotta. Mitä paremmin laminaatit istuvat hampaisiin, mitä paremmin niiden saumat saa pidettyä puhtaana ja mitä vähemmän ruokavaliossa ja elintavoissa on värjääviä aineita, sitä pidempään laminaatit kestävät. Toinen iso asia kesävyyden kannalta on se, toimiiko purenta oikein? Jos hampaissa on jo valmiiksi kulumaa öisestä narsuttelusta johtuen, laminaattihoitoon kannattaa yhdistää öisin pidettävä purentakisko, Vivera -retentiokalvo tai ennen hoitoa pieni oikominen, esimerkiksi Invisalign -kalvoilla. Itse laminaateilla purennan toimintaa saadaan paranettua, mutta jos omat hampaat eivät ole kestäneet kulumatta purennassa, pelkästään tämän varaan ei lopputuoksen pysyyyttä kannata jättää.
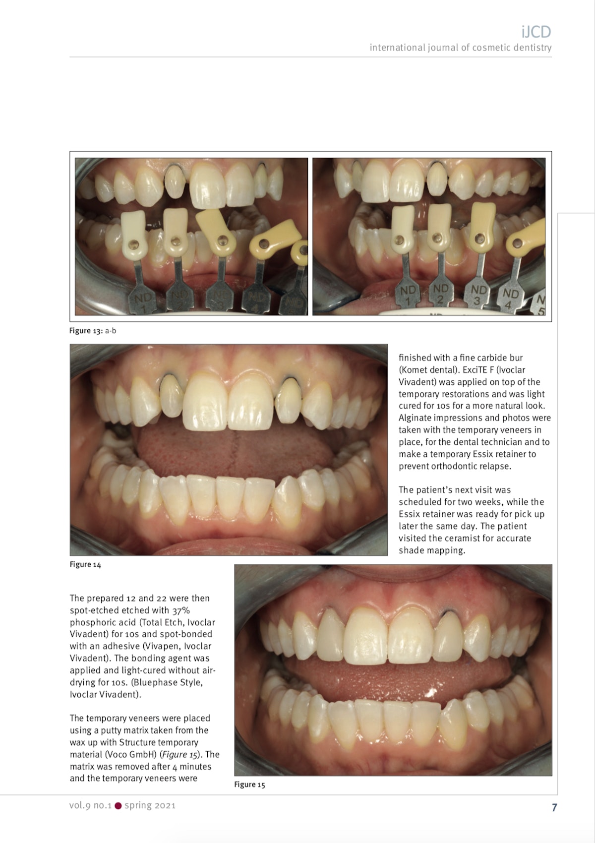
Koska parhaat laminaatit tehdään aina käsityönä. Teknikko tarvitsee aikaa niiden tekemiseen. Tähän menee yleensä 2-3 viikkoa. Tämän ajan hampaiden suojana ovat väliaikaiset muovista valmistetut laminaatit. Ne ovat lähes yhtä hyvän näköiset kuin lopulliset kuoret. Hoidon kulku kokonaisuudessaan selviää kun skrollaat sivua alaspäin.
Muutamia suorittamiani hoitoja joissa on käytetty hammaslaminaatteja

Keraamiset hammaslaminaatit seitsemässä yläetuhampaassa.

Keraamiset hammaslaminaatit kuudessa yläetuhampaassa.

Keraamiset laminaatit neljässä yläetuhampaassa. Kulmahampaat korvattu implanttikruunuilla. Oikomista tehty ennen kuoria.

Yksittäinen laminaatti etuhampaassa

Keraamiset hammaslaminaatit keskimmäisissä yläetuhampaissa.
Oikomista tehty ennen kuoria.

Keraamiset laminaatit reunimmaisissa yläetuhampaissa.
Oikomista tehty ennen kuoria.
1. Ensimmäinen 30min konsultaatiokäynti. Kauempana asuville asiakkaille mahdollista myös Google Meet / FaceTime videopuhelun avulla.
2. Jäljennökset hampaista sekä valokuvat vahattuja hammasmalleja varten. Tulevien laminaattien muodon läpi käymistä kuvien avulla. Jos konsultaatio on jo aikaisemmin tehty etänä / kuvat lähetetty hoitoarvion kautta, käynnit 1 ja 2 ovat sama asia.
3. Mock up, eli teknikon tekemien mallien perusteella laminaattien muodon näyttäminen asiakkaalle. Vahausmalleista on tehty valmiiksi muotti johon pistetään väliaikaista paikkamateriaalia, muotti asetetaan hampaiden päälle ja materiaalin annetaan kovettua muutama minuutti. Tämä mahdollistaa tulevan hymyn alustavan hahmottamisen ilman että hampaisiin kosketaan poralla lainkaan. Kun mock up ja suuntaviivat uuden hymyn suhteen on hyväksytty, samalla käynnillä hampaita hiotaan (mahdollisimman vähän) laminaatteja varten sekä hiotuista hampaista otetaan jäljennös jäljennösaineella. Väliaikaiset laminaatit valmistetaan ja niiden puhdistaminen käydään läpi.
4. Käynti teknikon luona laboratoriossa. Lopullisten kuorien värin ja muodon määrittäminen.
5. 2-3 viikkoa hampaiden jäljentämisestä lopullisten laminaattien sementointi paikoilleen.
6. Kontrollikäynti n. 2-4 viikkoa edellisestä käynnistä ja laminaattien saumojen huolellinen viimeistely ja kiilloittaminen.
"Selvittelin pitkään esteettiseen hammashoitoon keskittyneitä hammaslääkäreitä, jonka jälleen menin Petterille konsultaatioon. Valinnan teki helpoksi Petterin saamat erinomaiset arvostelut, informatiiviset nettisivut ja kuvat tehdyistä hoidoista. Minulle tehtiin invisalign oikomishoito ylä- ja alahampaisiin, jonka jälkeen hampaat valkaistiin. Lopputulos kruunattiin keraamisilla kuorilla kymmeneen yläetuhampaaseen. Petterin ammattitaito yhdistettynä hammasteknikkomestari Aki Lindénin kanssa on ylivoimainen kombo, joka tässä tapauksessa loi täydellisin hymyn."
- Teemu Kupiainen
'
"Ennen hoitoa otin selvää Helsingin parhaista esteettisistä hammaslääkäreistä ja päädyin Petteriin. Olen enemmän kuin tyytyväinen saamaani hoitoon, palveluun ja lopputulokseen. Minulla oli vaikea avopurenta, joten hampaiden ulkonäön lisäksi myös purentani hoidettiin kuntoon. Kiitos vielä tuhannesti!"
- Laura Löytty
"Todella ammattitaitoista palvelua kilpailukykyiseen hintaan. Laatu Suomen parasta"
- Niilo Salokannel
"Minulle tehty invisaling oikomishoito ja sen jälkeen laitettu 6 laminaatia etuhampaisin. Olen tosi tyytyväinen lopputulokseen.
Lääkäri on ammattilainen ja mukava ihminen."
- Viktoria Tamme
"I had my Invisalign alignment (among other stuff) treatment done with Petteri. I could not be more satisfied with the results. Everything went very well. Petteri is by far the best dentist I have had. Thank you for the excellent work!"
- Antti Lehtomäki
Hammaslääkäri Petteri Viljakainen
sekä
Journal of Cosmetic Dentistry 2019 volume 35 issue 3







International Journal of Cosmetic Dentistry vol. 9 no. 1 spring 2021












Olen pelkästään esteettiseen hammashoitoon keskittynyt hammaslääkäri, kansainvälinen kouluttaja sekä luennoitsija. Otan vastaan asiakkaita eSmile:n Espoon vastaanotolla Kauppakeskus AINOAssa.
©Petteri Viljakainen