Hypoplasioita eli vaaleita täpliä hampaissa esiintyy suhteellisen usein. Niitä esiintyy lapsilla / nuorilla esimerkiksi oikomishoidon seurauksena jossa kiinteiden oikomiskojeiden braketit jättävät täpliä jälkeensä pitkän hoidon jälkeen. Syy täplien esiintyvyyteen jää kuitenkin usein epäselväksi. Juomaveden fluoripitoisuudella lapsuudessa on oletettu olevan jotain tekemistä täplien esiintyvyyksien kanssa.
Hypoplasioita voidaan nykyään hoitaa poraamatta hampaita ns. resiini-infiltraatio (DMG ICON) käsittelyllä. Siinä hampaan pintaa ensin kemiallisesti karhennetaan jotta pinnan huokoset avautuvat. Tämän jälkeen hampaan pinta käsitellään 99%:lla etanolilla joka kuivattaa valkoiset täplät. Lopuksi pinnalle levitetään ohut kerros sidostusainetta joka korvaa vaaleat alueet hampaan sisällä ja muuttaa värin takaisn hampaan omaan sävyyn. Hoito on täysin kivutonta ja se voidaan toteuttaa täysin turvallisesti iästä riippumatta. Hoitotulokset ovat nykyisen tutkimustiedon valossa pysyviä. Menetelmä on kehitetty vasta 2009, joten pitkäaikaistutkimuksia tulosten pysyvyydestä ei kuitenkaan vielä ole olemassa.
Aikuisilla ICON hoitoon usein yhdistetään hampaiden valkaisu ennen resiini-infiltaariota, koska sillä voidaan saada täpliä vähemmän näkyviksi. Hampaissa on joskus myös ruskeita täpliä, joihin hoito ei tehoa. Ne usein korostuvat hoidon seurauksena. Ruskeat täplät on karhennettava poraamalla pois ja karhennettu osa hampaasta on korvattava yhdistelmämuovipaikkauksella.
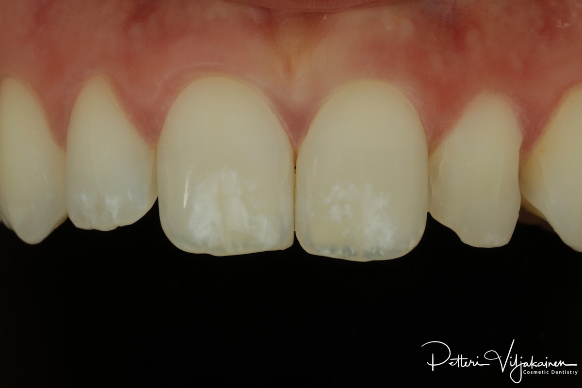
Case 1
Aika usein valkoiset täplät ovat häirinneet asiakkaita lapsuudesta asti. Samoin oli tämän 25 -vuotiaalla nuoren naisen kohdalla. Koska hänen tapauksessa täplät olivat syvemmällä hampaiden sisällä, piti hampaiden pintoja karhentaa poraamalla aavistus jotta kemiallinen käsittely pääsi vaikuttamaan riittävän syvälle.
Alkutilanne
Keskimmäisten etuhampaiden pintaa karhennettu aavistus
Huulet loitontajilla sivuun vedettynä
Ikenet suojataan käsittelyn ajaksi
Sama tilanne polarisaasiofiltterin avulla kuvattuna. Filtteri poistaa heijastukset hampaiden pinnoista
Tilanne ensimmäisen käsittelyn jälkeen
Tilanne toisen käsittelyn jälkeen
Tilanne kuukauden päästä käsittelystä, hampaiden pintaan lisätty ohut kerros paikkausmuovia.
Tilanne kolmannen käsittelyn jälkeen, läiskät alkavat selvästi pienentymään
Laajempi näkymä lopputilanteesta polarisaatiofiltterin läpi nähtynä.
Tilanne neljännen käsittelyn jälkeen, läiskät käytännössä kadonneet
Lopputilanne
Tyytyväinen asiakas!
Case 2.
23 -vuotias mies. Täplä ollut hampaassa lapsuudesta asti. Hampaan pintaa karhennettiin aavistus poraamalla, koska läikkä oli syvällä hampaassa. Lopuksi hampaan pintaan pistettiin kolmea läpikuultavuudeltaan erilaista hyvin ohutta muovikerrosta
Alkutilanne
Hampaat valkaisun jälkeen
Huulet loitontajilla sivuun vedettynä
Sama tilanne tarkemmin nähtynä
Tilanne ensimmäisen käsittelyn jälkeen
Tilanne toisen käsittelyn jälkeen
Tilanne kolmannen käsittelyn jälkeen
Lopputilanne
Lopputilanne tarkemmin nähtynä
Case 3
Potilastapaus: 24 -vuotias nainen, jota täplät olivat häirinneet lapsesta asti. Hampaat ensi valkaistiin ja viikko tästä käsiteltiin resiini-infiltraatiokäsittelyllä. Täplät saatiin häviämään koskematta poralla hampaisiin. Kuvat on otettu käyttämällä kamerassa polarisaatiofiltteriä , joka poistaa hampaiden heijastukset ja saa värit sekä yksityiskohdat paremmin esille.

Alkutilanne

Alkutilanne

Hampaiden valkaisun jälkeen

Lopputilanne

ICON käsittelyn jälkeen

"It is believed that the whitish opaque appearance of DDE (developmental defects of enamel) may be caused by subsurface porosities in the enamel below a well-mineralized surface layer. It has been demonstrated that hypomineralized enamel is resistant to conventional acid etching. Enamel lesions lose their whitish appearance when their microporosities are filled with resin and look similar to the sound enamel. Sound enamel has a refractive index of 1.62. Porous enamel appears opaque compared to sound tissues when filled with water (refractive index 1.33). On the other hand, when these pores are infiltrated with the resin infiltrant, the refractive index increase to 1.52 and the lesions appear similar to the surrounding enamel."
"Erinomaista jälkeä. Ammattitaitoinen ja mukava kaveri!"
- Arber Zeqiri
"Erittäin asiantunteva ja miellyttävä lääkäri, perheenjäsenen hoidon lopputulos täysi 10! Kaikki meni suunnitelmien mukaisesti ja joustavasti. Erityiskiitos myös informatiivisille nettisivuille ja hyvästä tiedon antamisesta kaikissa hoidon vaiheissa. Valinta oli helppo tehdä näiden pohjalta. Luotettava ja laadukas kokonaisuus. Kiitos!"
- Seppo Ingalsuo (hoidossa olleen poikansa puolesta)
Hammaslääkäri Petteri Viljakainen
Hoito alkaa ilmaisella 30 min konsultaatioajalla. Ajan voit varata tästä. Tervetuloa!
Olen pelkästään esteettiseen hammashoitoon keskittynyt hammaslääkäri, kansainvälinen kouluttaja sekä luennoitsija. Otan vastaan asiakkaita eSmile:n Espoon vastaanotolla Kauppakeskus AINOAssa.
©Petteri Viljakainen