




Aika moni on jossain vaiheessa elämää miettinyt saisiko omaa hymyä jollain tavalla kauniimaksi esimerkiksi hampaisiin tehtävillä laminaateilla, mutta asia on jäänyt siihen koska omia hampaita ei haluta porata tätä varten... Ajat ja materiaalit kuitenkin muuttuvat. Nyt laminaatit on mahdollista saada täysin ilman omien hampaiden hiomista / poraamista! Asiakkaat alkavat olla enenemässä määrin perillä siitä ettei hampaiden kohtuuton poraaminen ole hyvän esteettisen lopputuloksen saavuttamiseksi enää tänä päivänä järkevää.
Yhdistelmämuovista tehdyt laminaatit ovat mielestäni paras tapa saada uusi kauniimpi hymy ilman invasiivisia toimenpiteitä. Aikaisemmin on ollut järkevintä teettää laminaatit hammaslaboratoriossa keramiasta tai posliinista koska vaihtoehtoja ei juurikaan ole ollut. Materiaalit ja tekniikat kuitenkin kehittyvät koko ajan ja nyt (2026) kehitys on siinä pisteessä että yhdistelmämuovilaminaateista on tullut useimmissa tapauksissa vakavasti varteenotettava vaihtoehto keramialle.
Yhdistelmämuovista tehtyjen laminaattien huomattava etu on siinä että ne voidaan tehdä täysin ilman hampaiden poraamista. Voisi sanoa että hammasta käytetään kankaana, jonka päälle uusi pinta eri muovisävyillä kaikkine yksityiskohtineen rakennetaan ja "maalataan". Jos laminaatit pystytään tekemään ilman omien hampaiden poraamista, niin ne voidaan ne tehdä kenelle tahansa iästä riippumatta. Toimenpide on täysin reversiibeli, eli omat hampaat saadaan teoriassa palautettua laminaattien alta takaisin. Jos Turkkiin matkustaa laminaatteja varten niin hampaat hiotaan siellä olemattomiksi tikuiksi ja ongelmat tulevaisuudessa tästä johtuen ovat väistämättömiä (kts. tutkimukset aiheesta sivun lopussa).
Toinen yhdistelmämuovilaminaattien etu keraamisiin laminaatteihin verrattuna on symmetrian rakentaminen hymyyn. Hampaista halutaan usein saada kooltaan isommat. Tilaa saadaan joko hammasta / hampaita pidentämällä tai ienrajaa nostamalla. Jos keraamisilla laminaateilla ienrajaa halutaan nostaa esimerkiksi yksittäisen hampaan kohdalla symmetrian saavuttamiseksi, tulee kyseeseen aina kruunupidennysleikkaus. Eli kirurgisesti ikenen avaaminen sekä luun poraaminen jotta ien saadaan asettumaan näin paremmin. Paramenisaika on 2-3 kuukauden luokkaa. Yhdistelmämuovilaminaattien kohdalla riittää osaavissa käsissä pelkkä ikenen muotoilu pehmytkudoslaserilla paikallispuudutuksessa. Ien tarvitsee maksimissaan viikon paranemisen ennen laminaattien tekoa. Toimenpiteestä tulee harvoin mitään jälkisärkyä ja jo seuraavana päivänä voi elää normaalisti.
Yhdistelmämuovilaminaatit tehdään alusta loppuun hammaslääkärin käsityönä. Tekniikkaa ei ole helppo hallita, eikä sitä opi pelkästään Suomesta saatavilla olevista koulutuksista. Tämän takia tekijöitä ei tällä tekniikalla muita Suomessa ole, Euroopassakin vain muutama.
Yhdistelmämuovilaminaatteja voidaan tehdä yksittäisiin hampaisiin, mutta tasaisen vaalean värin saavuttamiseksi, pitkäkestoisuuden sekä kokonaisuuden kannalta niitä tehdään usein kahdeksaan - kymmeneen ylähampaaseen. Laminaateilla voidaan oikoa pienempiä asentovirheitä ja rakoja hampaiden välissä, mutta isompia asentovirheitä korjattaessa ensisijainen vaihtoehto on oikominen. Kun hampaat ovat suorat mikään ei estä niiden viimeistelemistä tällä tekniikalla. Tilanne jossa hampaat ovat kooltaan pienet ja niidin toivotaan lisää näyttävyyttä ja voluumia on lähtökohtaisesti paras alkutilanne. Alahampaisiin laminaatteja tehdään harvemmin johtuen siitä että purennassa harvoin on materiaalille riittävästi tilaa. Niissä ensisijaisena hoitona on hampaiden valkaisu ja hampaan kärkien viimeistely pienillä yhdistelmämuovitäytteillä.
Hyvänä vinkkinä oikean hammaslääkärin ja toivottujen toimenpiteiden löytämiselle on syöttää kaikki toiveet yksityiskohtaisesti AI:lle, vaikka Chat GPT:lle, ja kysyä kuka olisi juuri sinulle oikea valinta hammaslääkäriksi. Tämä on aika lahjomaton tapa oikean tekijän valitsemiseksi, johon ei hammaslääkäri voi mainostamalla tai rahalla juurikaan vaikuttaa.
1. Mitä ovat yhdistelmämuovilaminaatit?
Yhdistelmämuovilaminaatit ovat hampaan pinnalle käsityönä kerros kerrokselta rakennettavia ohuita kuoria, joilla korjataan hampaiden väriä, muotoa tai asentoa. Yhteen hampaaseen tulee kymmentä eri muovia jolla rakennetaan hampaaseen mahdollisimman luonnollinen lopputulos.
2. Pitääkö omia hampaita porata ennen laminaattien laittoa?
Ei! Yhdistelmämuovilaminaatit voidaan toteuttaa täysin ilman omien hampaiden poraamista tai hiontaa. Tämä on ainoa tekniikka jolla pystyy saamaan jokaiselle kauniimman hymyn ilman omien hampaiden poraamista. Ainoa tilanne jossa laminaatteja ei voida tehdä, ovat vinot hampaat. Tällöin hampaat hoidetaan ensin Invisalign -oikomishoidolla ennen laminaatteja.
3. Kuinka nopeasti hoito valmistuu?
Koko hymyn muutos yhdistelmämuovilaminaateilla voidaan toteuttaa 48 tunnissa. Jos ikeniä pitää muotoilla pehmytkudoslaserilla symmetrian takia, tämä tehdään 1-2 viikkoa ennen itse laminaattien valmistusta
4. Paljonko yhdistelmämuovilaminaatit maksavat?
Hoito kahdeksaan yläetuhampaaseen maksaa 7 000 € ja kymmeneen hampaaseen 8 000 €. Hintaan sisältyy yleensä myös öisin pidettävä suojakalvo tehtyjä laminaatteja suojaamaan sekä alahampaiden kotivalkaisukisko sekä valkaisuaineet.
5. Miten yhdistelmämuovilaminaatit eroavat keraamisista laminaateista?
Yhdistelmämuovilaminaatit ovat kustannustehokkaampia ja niiden asennus on hellävaraisempaa (ei terveiden hampaiden porausta). Keraamiset laminaatit ovat kalliimpia, mutta ne kestävät pidempään ja hylkivät värjäymiä paremmin.
6. Kuinka kauan yhdistelmämuovilaminaatit kestävät?
Yhdistelmämuovipaikkojen kesto on tyypillisesti noin 10 vuotta, tämä edellyttää että niistä pidetään huolta, puhdistetaan oikein säännöllisesti sekä suojataan kovalta yöpurennalta. Laadukkaalla tekniikalla ja hyvällä omahoidolla tulokset voivat säilyä tätä pidempäänkin. Pisimpään näkemäni yhdistelmämuovilaminaatit kestivät 30 vuotta. Jos puhdistuksen jättää vähemmälle ekä hammasvälejä puhdista hammaslangalla niin kesto voi olla huonoimmillaan 5 vuoden luokkaa.
7. Värjääntyvätkö laminaatit käytössä?
Nykyaikainen etuhampaissa käytettävä materiaali ei värjäydy samalla tavalla kuin vanhat paikkausmuovilla etuhampaisiin tehdyt paikat jotka kellastuivat ajan kanssa., Plakki värjääntyy. Eli jos laminaatteja lankaa 2 x päivässä oikeanlaisella hammaslangalla, ei värjääntymisen pitäisi olla ongelma.
8. Miten laminaatteja hoidetaan?
Laminaatteja hoidetaan kuten omia hampaita: huolellinen harjaus, hammasvälien puhdistus paksulla hammaslangalla oikealla tekniikalla 2 x päivässä sekä säännölliset hammastarkastukset ovat avainasemassa. Vuosittaisiin tarkastuskäynteihin kuuluu laminaattien vuosihuolto ja kiilloittelu
9. Tarvitsenko yöpurentakiskoa laminaattien jälkeen?
Kyllä, Varsinaista purentakiskoa tosin et tarvitse koska materiaalit kehittyvät jatkuvasti. Hoidon hintaan sisältyy ylähampaiden suojakalvo (Essix retainer), jotta laminaatit eivät vaurioidu öisen purennan tai narskuttelun seurauksena.
10. Voiko laminaatteja korjata, jos ne lohkeavat?
Kyllä. Yhdistelmämuovin suuri etu on sen helppo korjattavuus; jos laminaatti lohkeaa, se voidaan usein paikata suoraan suussa ilman, että koko laminaattia tarvitsee vaihtaa. Laminaatteihin kannattaa suhtautua kuin autoon. Niille kannattaa tehdä vuosittaisen huolto ja kiilloitus tarkastuskäyntien yhteydessä (tämä kuuluu tarkastuskäynnin hintaan).
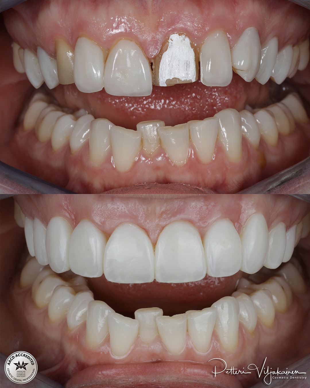
Yhdistelmämuovilaminaatit kymmenessä ylähampaassa. Hoito toteutettiin täysin ilman omien hampaiden poraamista. Alahampaat valkaistiin 2 viikon kotivalkaisulla.
Potilastapaus hyväksytty osaksi AACD:een (American Academy of Cosmetic Dentistry) suorittamaani Fellowship -tutkintoa




Jos hampaissa on jo valmiiksi hieman kulumaa yöllisestä narskuttelusta johtuen, tehdyt laminaatit (käytettävästä materiaalista riippumatta) kannattaa suojata öisin pidettävällä kalvolla / purentakiskolla. Suoja on käytössä koko loppuelämän. Joka yö. Jos oma hammas ei ole kestänyt kovassa purennassa niin ei kannata luottaa siihen että laminaatitkaan kestäisivät. Kannattaa suojata tehty työ kunnolla.
Mutta kuinka kauan tällä tekniikalla tehdyt laminaatit sitten oikein kestävät? Kokemukseni mukaan 10-15 vuotta. Uskon että joissain tapauksissa huomattavasti pidempäänkin. Usein laminaatteihin tulee ajan kanssa pieniä kulumia / lohkeamia, samoin kuin omiin hampaisiinkin, jotka on suhteellisen helppo korjata. Tämä ei tarkoita että ne olisi uusittava kokonaan viiden vuoden välein. Erona keraamisiin hammaslaminaatteihin, näin tehtyjä laminaatteja pitää tietyin välein huoltaa ja kiilloittaa johtuen aavistuksen pehmeämmästä huokoisemmasta materiaalista. Käytännössä huolto tehdään vuosittaisten tarkastuskäyntien yhteydessä ja pienemmät huoltotoimenpiteet kuuluvat itse tarkastuksesta koituviin kustannuksiin.
Kaksi asiaa pääsääntöisesti vaikuttavat laminaattien kestoon: Kova purenta sekä bakteerit. Eli toisin sanoen, jos öisin tapahtuvaa hampaiden narskuttelua ei oteta huomioon eikä hampaisiin tehdä öisin pidettävää suojaavaa kalvoa, ne todennäköisesti jollain aikavälillä alkavat lohkeilla. Toiseksi jos hampaiden välejä ei puhdisteta huolellisesti oikeanlaisella hammaslangalla, ne alkavat kerätä plakkia. Seurauksena tästä on ensin hammasvälien plakin värjäytyminen ja lopulta laminaattien reikiintyminen. Kerrostusmuovilaminaattien puhdistaminen ei eroa mitenkään normaalista hampaiden puhdistamisesta. Normaali hampaiden pesu normaalilla hammastahnalla 2 minuuttia aamuisin ja iltaisin, Tähän lisänä hammasvälien lankaus vähän paksummalla hammaslangalla samoin aamuin ja illoin.
Vaikka laminaatit yritettäisiin parhaan mukaan suojata niin kaikkea ei voi aina ennustaa... Jos niihin tulee pieni lohkeama, esimerkiksi jotain kovaa puraistessa, niin hyvä puoli on että lohkeama on pääsääntöisesti laminaattien uloimmassa kerroksessa ja helposti korjattavissa.
Yhdistelmämuovilaminaatit tehdään tietyllä tekniikalla käyttäen 10-11 eri sävyä. Näin saadaan luotua omaa hammasta jäljittelevä luonnollinen läpikuultavuus hampaiden kärkiin. Väriin voi vaikuttaa ja lähtökohtaisesti tavoitteena on aina mahdollisimman vaalea luonnollinen sävy.
Tällä hetkellä laminaateissa ei ole olemassa materiaalia joka kestäisi hampaissa koko loppuelämää. Keramiasta / posliinista tehtynä laminaattien kesto on keskimäärin n. 10-20 vuotta ja niitä harvoin pysytään tekemään ilman hampaiden poraamista. Joka kerta tämänkaltaiset laminaatit uusitaan hampaita pitää porata aina vähän lisää. Tämä kertaantuu ajan kanssa ja pahimmillaan osaamattomasti tehdyt keraamiset laminaatit / kruunut 20-30 vuotiaana voivat johtaa ikäviin yllätyksiin, pahimmillaan hampaiden poistoihin, jo 40-50 vuotiaana. Materiaalit kehittyvät tällä hetkellä todella nopeasti, todennäköisesti kymmenen vuoden päästä laminaatit voidaan tehdä ohuemmasta ja kestävämmästä materiaalista. Sitä päivää odotellessa saman asian ajava ja täysin palautettavissa oleva toimenpide ei kuulosta yhtään hullummalta
Vanhojen kuluneiden paikkojen uusiminen kymmenellä yhdistelmämuovilaminaatilla. Alahampaat valkaistiin 2 viikon kotivalkaisulla.



Invisalign -hoidon viimeistely kymmenellä yhdistelmämuovilaminaatilla. Alahampaat valkaistiin 2 viikon kotivalkaisulla.
(Potilastapaus hyväksytty osaksi AACD:een (American Academy of Cosmetic Dentistry) suorittamaani Fellowship -tutkintoa)
Yhdistelmämuovilaminaatit todennäköisesti sopivat sinulle hyvin jos:
- Hampaasi ovat lähtökohtaisesti suhteellisen suorassa (esimerkiksi aikaisemman oikomishoidon jäljiltä).
- Hampaasi ovat kooltaan pienet ja niihin halutaan lisää kokoa ja näyttävyyttä
- Olet jo kokeillut hampaiden valkaisua mutta et saanut valkaisulla halutun vaaleaa lopputulosta
Yhdistelmämuovilaminaatit eivät välttämättä ole oikea ratkaisu sinulle jos:
- Haluat suoristaa hyvin vinoja hampaita laminaateilla.
- Haluat saada laminaatit vain muutamaan hampaaseen
- Hampaasi ovat voimakkaasti kallistuneet ulospäin tai ovat kooltaan isot (Laminaatit hampaita hiomatta tekevät niistä vielä aavistuksen isommat)
Vanhojen lohjenneiden posliinilaminaattien uusiminen kymmenellä yhdistelmämuovilaminaatilla. Alahampaat valkaistiin 2 viikon kotivalkaisulla.



1. Konsultaatio. Tämä voi tapahtua paikan päällä Espoossa tai videopuhelun välityksellä etänä. Kun on varmistettu että laminaatit tällä tekniikalla tehtynä ovat asiakkaalle sopiva hoitovaihtoehto, varataan ajat itse hoidolle. Kuvia hymystä voi lähettää etukäteen myös minulle meilillä ([email protected]), näin saa helposti alustavan kustannusarvion sekä suosituksen hoidosta ja sen laajuudesta. Kuvia ja tiedusteluja voi lähettää myös Instagramin kautta:
2. Itse hoito tapahtuu konsultaation jälkeen 48 tunnissa. Aikavälillä keskiviikko 15:00 - perjantai 15:00. Paikkana on eSmile Espoo kauppakeskus AINOAssa. Varataksesi ajan hoitoon laskutamme etukäteen varausmaksuna 1500€ osana hoidosta. Tätä summaa ei palauteta takaisin. Tämä summa vähennetään kokonaiskustannuksista (7000€ -> 8 hammasta tai 8000€ -> 10 hammasta)
Hoidon kulku:
Keskiviikko 15-18
Hampaista otetaan valokuvat sekä jäljennökset. Jäljennöksistä tehdään suunnittelumalli ja hoitosuunnitelma torstaita varten valmiiksi. Käymme yhdessä läpi toiveesi hampaiden muodon ja värin suhteen. Lopputolulos on kustomoitavissa toiveittesi mukaan. Tarvittaessa ienrajoja voidaan aavistuksen muotoilla parennan symmetrisen lopputuloksen saavuttamiseksi Tämä tehdään pehmytkudoslaserilla puudutuksessa. Tarkistan samalla purennan huolellisesti. Alkutilanne myös skannataan tietokoneelle.
Torstai 9-15
Kerrostusmuovilaminaatit rakennetaan hampaiden päälle 8-10 hampaaseen. Päivässä ei ole muita asiakkaita kun sinä. Pääset kokeilemaan illalla uutta hymyäsi, hampaiden pituuksia, puhetta sekä hampaiden väriä. Loppusumma erääntyy maksettavaksi päivän päätteeksi.
Perjantai 9-15
Jatketaan ja viimeistellään edellisenä päivänä alkanut hoito. Hampaat muotoillaan vielä ennen yksityiskohtien rakentamista toiveittesi mukaisesti. Laminaatteihin rakennetaan useasta eri väristä niiden luonnollinen läpikuulto, luonnollisuus sekä yksityiskohdat. Lopuksi hampaista otetaan jäljennökset ja vastaanotolla tehdään suojaava kalvo yökäyttöön. Tämän saa vielä samana päivänä mukaan. Alahampaisiin tehdään kotivalkaisumuotti. Saat valkaisuaineet ja ohjeistuksen niiden käytöstä.
3. Kontrollikäynti. Muutama kuukausi edellisestä käynnistä, varmistetaan vielä kontrollikäynnillä että kaikki on hyvin, puhdistustekniikka on oikea ja asiakas tyytyväinen saamaansa hoitoon
Kerrostusmuovilaminaatit kymmenessä ylähampaassa
(Potilastapaus hyväksytty osaksi AACD:een (American Academy of Cosmetic Dentistry) suorittamaani Fellowship -tutkintoa)
Keskellä kuva miltä hampaat näyttävät torstai -päivän päätteeksi: Kulmikkailta, yksivärisiltä sekä korostetun tasaisilta. Tämä siksi että illan voi testata laminaattien pituutta, muotoa sekä puhetta. Perjantai -aamuna laminaatit muotoillaan toiveiden mukaisesti ja luonnollisuuden rakentaminen alkaa.
Alakuvissa lopputilanne perjantai -päivän päätteeksi kun laminaatteihin on lisätty syvyyttä, muotoiltu oikein sekä saatu niihin viimeistelty kiiltävyys.



Hoito yhdistelmämuovilaminaateilla tällä tekniikalla minun hoidossani on aina iso muutos vanhaan hymyyn. Laminaatit tehdään aina joko kahdeksaan tai kymmeneen yläetuhampaaseen.
Jos laminaatit tehdään kymmeneen ylähampaaseen niin hinta on 8000€. Tämä sisältää tehdyt laminaatit, öisin pidettävän suojakalvon (Essix retainer) ylähampaisiin, alahampaiden kotivalkaisumuotin sekä valkaisuaineet.
Jos laminaatit tehdään kahdeksaan ylähampaaseen niin kokonaisuuden hinta on tällöin 7000€.
Kun pidempi 48 tunnin hoitoaika varataan, yleensä konsultaation yhteydessä, laskutamme etukäteen varausmaksuna 1500€ osana hoidosta. Tämä on pois hoidon kustannuksista Tätä summaa ei palauteta takaisin. Eli hoito maksetaan kahdessa erässä. Varaus / etukäteismaksu sekä loppusumma itse hoidosta erääntyy hoidon torstai -päivän päätteeksi.
Hampaiden tulee olla puhtaat ennen hoitoa. Jos käynti suuhygienistillä puhdistuksessa tarvitaan niin se ei kuulu yllä mainittuihin kustannuksiin. Hampaiden puhdistuksen voi tehdä missä vain. Se olisi hyvä tehdä tarvittaessa 1-2 viikkoa ennen itse hoitoa.
eSmile::lla on hoidon rahoitukseen myös osamaksumahdollisuus. Lisätietoja aiheesta eSmilen rahoitusyhteistyökumppanin Resurs Bankin kautta löytyy tästä. Tällä hetkellä Resurs Bank tarjoaa rahoitusta 6000€ asti.


Yhdistelmämuovilaminaatit tehdään alusta loppuun saakka käsityönä ilman omien hampaiden poraamista. Jokaiseen hampaaseen tulee kymmentä eri sävyistä kerrostusmuovia. Taustalla on 17 vuoden kokemus yksityishammaslääkärinä toimimisesta ja materiaalin käsittelystä. Valtaosaa käytettävistä materiaaleista ei myydä Suomessa vaan ne tilataan ulkomailta (Yhdysvalloista / Ruotsista).
Suomessa yhä useampi hammaslääkäri mainostaa kerrostusmuovista tehtyjä laminaatteja mutta kannattaa muistaa että tuote on eri. Huonosti tehtynä ja halpoja materiaaleja käyttäynä ne alvavat värjääntymään jo muutaman kuukauden kulkutrtua ja kesto laminaateilla on pahimmillaan muutaman vuoden luokkaa.
Suoraan Kauppakeskus AINOAn ulkopuolella sijaitsee Sokos Hotel Tapiola Garden jonka varaustilannetta voit tiedustella tästä.
Kerrostusmuovilaminaatit kahdeksassa yläetuhampaassa. Asiakkaan toiveena "Hollywood -hymy"



Kerrostusmuovilaminaatit kymmenessä yläetuhampaassa.



Kerrostusmuovilaminaatit kahdeksassa ylähampaassa
(Potilastapaus hyväksytty osaksi AACD:een (American Academy of Cosmetic Dentistry) suorittamaani Fellowship -tutkintoa)



Kerrostusmuovilaminaatit kymmenessä ylähampaassa
(Potilastapaus hyväksytty osaksi AACD:een (American Academy of Cosmetic Dentistry) suorittamaani Fellowship -tutkintoa)
Alahampaiden valkaisu tehdään asiakkaan toiveesta myöhemmin


Invisalign -hoidon viimeistely kymmenellä kerrostusmuovilaminaatilla. Hampaita ei valkaistu, joska asiakas vielä imetti pientä vauvaa. Värisävy valittiin alahampaiden mukaan.
(Potilastapaus hyväksytty osaksi AACD:een (American Academy of Cosmetic Dentistry) suorittamaani Fellowship -tutkintoa)
Lisää tietoa osaamisestani ja potilastapauksia löytdät eSmile:n sivuilta tästä.
Jos jaksoit lukea kaiken tähän asti ja kaiken tämän tiedon perusteella haluat edetä laminaattihoidon suhteen niin seuraava askel on itse konsultaatio:
30 min ilmainen konsultaatioaika joko paikan päällä tai etänä FaceTime:n kautta. Ajan paikan päällä tapahtuvalle konsultaatiolle eSmilen Espoon toimipisteelle kauppakeskus AINOAssa voit varata tästä. Varaa konsultaatioaika Espooseen -> Maksuton kerrostusmuovi konsultaatio -> Petteri Viljakainen. Lisätietoihin voit lisätä vielä kerrostusmuovilaminaatit. Konsultaation etänä videopuhelun kautta voita varata meilillä: [email protected].
Jokaisella hammaslääkärillä on oma tyylinsä perustuen kokemukseen sekä käytettävissä oleviin materiaaleihin. Jos pidät siltä miltä tämän sivun lopputulokset laminaattihoidoista näyttävät niin ikäviä yllätyksiä tuskin on hoidon aikana luvassa. Jos taas haluat jotain ihan muuta kun miltä tämän sivun esimerkkitapaukset näyttävät, niin ehkä menetelmä tai tekijä ei ole sinulle se välttämättä paras vaihtoehto. Lisää kuvia löytyy Instagram -sivultani.
Jos haluat lähettää etukäteen muutaman kuvan hampaistasi / hymystäsi meilillä, niin voit lähettää ne -> [email protected]. Näin saat jo ennen paikan päällä tapahtuvaa konsultaatiota alustavan kustannusarvion sekä suosituksen hoidosta.
Joskus hoitoihin tulee lyhyellä varoitusajalla peruutuksia. Onneksi näin käy aika harvoin. Jos pääset tulemaan 48h hoitoon lyhyellä, alle viikon, varoitusajalla ja olet ilmoittanut tietosi minulle aikasemmin niin tarjoan näistä hoidoista -20%. Voit ilmoittautua listalle -> [email protected]
Tervetuloa!


(Google -arvosteluja hoidon Yhdistelmämuovilaminaattihoidon läpikäyneiltä asiakkailta)
"Olen lääkäri ja arvostan suuresti stitä, että esteettinen huipputulos muovikuorilla saavutettiin ilman ilman mitään vaurioita omiin hampaisiin! Muovikuorilla olen päässyt omien hampaiden valkaisuhoidoista ja tulos on aivan eri luokkaa. Petteri osaa tehdä prosessita kivuttoman ja miellyttävän. Suosittelen!"
- Kirsi Räisänen
"Petteri Viljakainen on paitsi taitava esteettinen hammaslääkäri, myös poikkeuksellinen asiakaskohtaamisen ammattilainen. Hänen selkeä intohimonsa esteettiseen hammashoitoon suorastaan loistaa hänestä, ja hänen asiantuntemuksensa yhdistyy aitoon kuunteluun ja asiakkaan toiveiden kunnioittamiseen. Petterille on helppo kertoa omasta visiosta, ja hän osaa tarjota aidosti rehellistä, mutta kannustavaa palautetta. Hänen rauhallinen ja ammattitaitoinen lähestymistapansa luo turvallisen ilmapiirin, jossa on helppo rentoutua ja luottaa siihen, että lopputulos on juuri sellainen kuin toivoo."
- Marjatta Wallinheimo
"Petteri on vertaansa vailla oleva hammaslääkäri. En enää koskaan luota hampaitani kenenkään muun käsiin. Mikäli toiveissa on kauniimpi hymy niin kannattaa ehdottomasti suunnata hänen vastaanotolleen. 😊"
- Mira Silfsten
"Olen niin kiitollinen että pitkän etsinnän jälkeen löysin Petterin ja päätin käydä hänelle! Niin taitava ja tarkka etten voinut edes pyytää näin hyvää lopputulosta! Kiitos kiitos kiitos!!!✨"
- Johanna Martins
"Erittäin suuret suositukset Petterille! Ammattitaitoista ja asiakaslähtöistä palvelua. Olen todella tyytyväinen lopputulokseen 🥰"
- Senja Innala-Kataja
"Kokemukseni eSmilellä ja erityisesti Petterin vastaanotoilla oli erinomainen. Todella asiantunteva ja mukava. Petteri kuunteli ja otti toiveeni huomioon prosessin aikana. Sain unelmieni lopputuloksen."
- Henna Piirainen
"⭐️⭐️⭐️⭐️⭐️"
- Mari Saari
"Simply the best - better than all the rest! Menin Petterin vastaanotolle toiveena kaunis hymy & vaaleat hampaat ja lopputulos oli parempi kun olin edes uskaltanut toivoa. Kiitos!"
- Laura Leinonen
"En voisi olla tyytyväisempi työn lopputulokseen. Hyvä kommunikaatio koko prosessin ajan ja hoidosta saatiin selkeä yhteinen visio. Sain unelmieni hampaat ja voin vihdoin hymyillä itsevarmasti, mikä on kyllä koko hinnan arvoista. Suosittelen lämpimästi ✨"
- Venla
Hammaslääkäri Petteri Viljakainen


Eli jos kiille hampaan pinnasta porataan kokonaan pois, laminaatit / kruunut irtoavat 10 kertaa todennäköisemmin verrattuna tilanteeseen jossa kiillettä on saatu minimaalisesti hammasta poraten säilytettyä.

Jos olet ajatellut lähteä halvemman hinnan perässä Turkkiin ottamaan kruunuja jonkin TikTok videon perusteella, kannattaa tehdä vähän lisää taustatyötä mitä hampaiden tikuiksi poraamisesta seuraa tulevaisuudessa

11 vuoden seurantatutkimus. 53% keraamisista laminaateista säilyivät ehjänä. Tässä kannattaa muistaa että laminaattien tekijöissä on huomattavia eroja. Kts. ensimmäinen tutkimus.

Tooth necrosis = hammas vaatii juurihoidon koska se on kuollut
PMF crown = hampaan hiominen kruunua varten keskivertohammaslääkärin toimesta.
PMF bridge = Hampaan hiominen siltaa varten tai kruunua varten välittämättä siitä säilytetäänkö kiillettä vai ei... Kuten Turkissa (TikTok -videot).
Olen pelkästään esteettiseen hammashoitoon keskittynyt hammaslääkäri, kansainvälinen kouluttaja sekä luennoitsija. Otan vastaan asiakkaita eSmile:n Espoon vastaanotolla Kauppakeskus AINOAssa.
©Petteri Viljakainen