


“80-luvulla kertaalleen oiotut hampaani oiottiin uudestaan Invisalignilla. Oikomishoito oli uskomattoman vaivaton. Voin lämpimästi suositella niin Invisalign oikomishoitoa kuin Ebeling Hammaslääkäreiden mahtavaa henkilökuntaa"
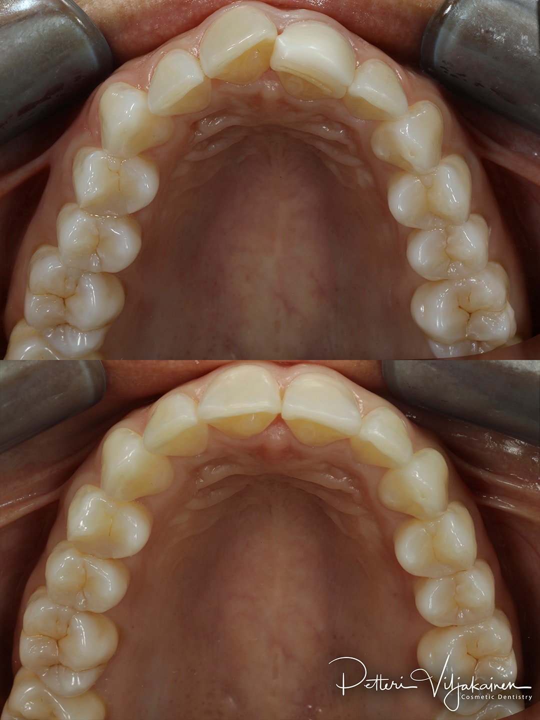
Helenalla hampaat oiottiin suoraksi Invisalign Comprehensive -hoidolla. Hoidon lopuksi vanha etuhampaan muovipaikka purettiin ja hampaiden pinnat muotoiltiin luonnollisen symmetrisiksi. Hoito kesti 10kk.
Olen pelkästään esteettiseen hammashoitoon keskittynyt hammaslääkäri, kansainvälinen kouluttaja sekä luennoitsija. Otan vastaan asiakkaita eSmile:n Espoon vastaanotolla Kauppakeskus AINOAssa.
©Petteri Viljakainen