


“Olisi ne rahat tullut johonkin kulutettua, vaikka ostoksiin. Mutta hampaat kestävät koko loppuelämän. Mielestäni lopputulos on paljon arvokkaampi kuin siihen käyttämäni raha.”
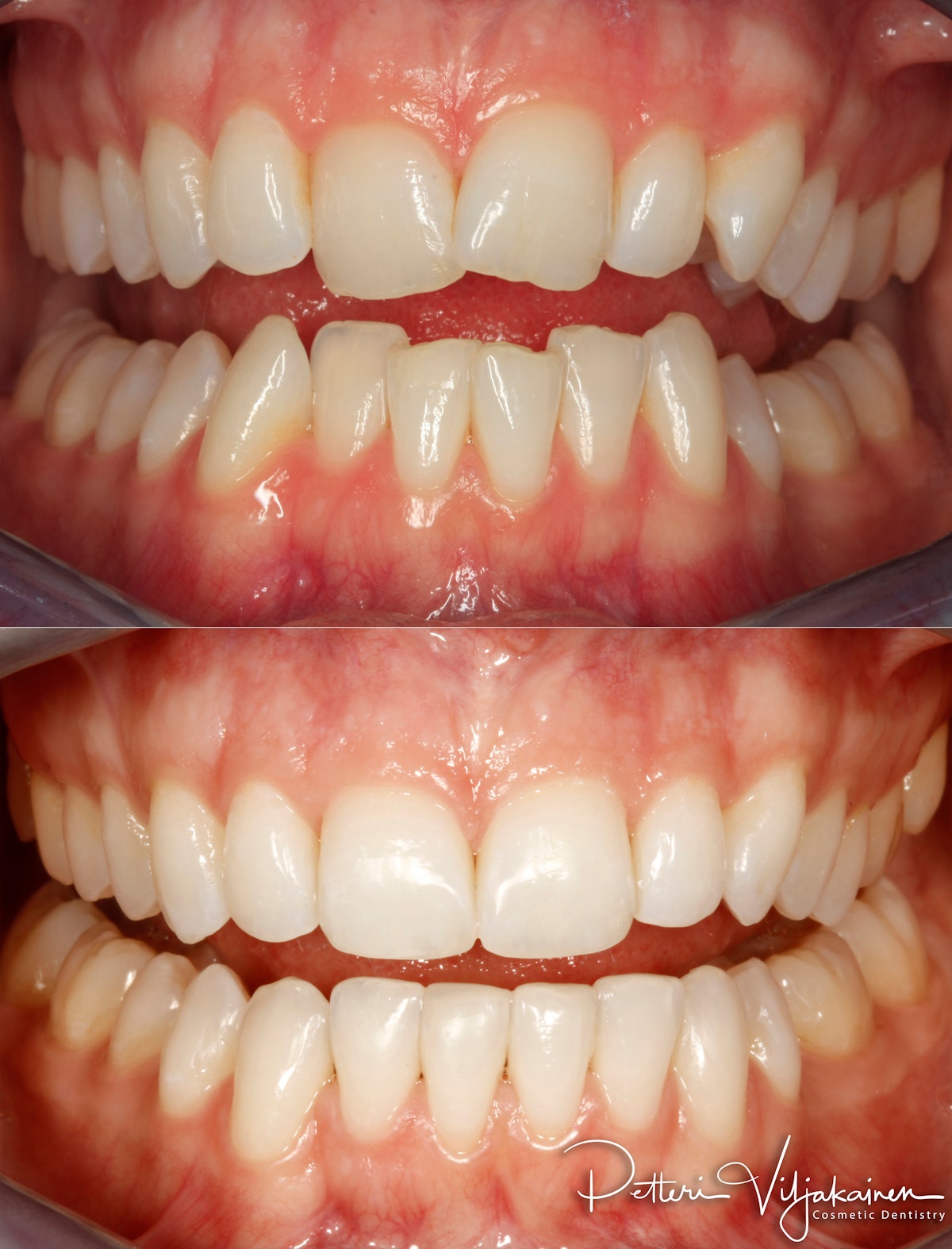
Opiskelija Tiia Ahonen, 23, oli miettinyt oikomishoitoa jo lapsesta saakka. Pelkkä hammasrivistön ahtaus ei riittänyt oikomisen perusteeksi julkisessa terveydenhuollossa, mutta häntä itseään epätasaisuus häiritsi.
“Valokuvia katsellessa kiinnitin aina huomion etuhampaideni epätasaisuuteen. Ja koitin aina hymyillä suu kiinni.”
Viime talvena (2017) Tiia toteutti haaveensa oikomishoidosta. Toukokuussa hän kävi konsultaatiossa, jossa hammaslääkäri Petteri Viljakainen arvioi oikomishoidon hinnaksi 3500 euroa ja tarvittavaksi ajaksi puoli vuotta.
“Vertailin hintaa muihin hammaslääkäreihin ja totesin sen tosi kilpailukykyiseksi, varsinkin kun sen sai maksaa osissa”
Alkukesästä Tiian hampaista otettiin jäljennös, ja 3D-mallista hän näki, miltä lopputulos näyttäisi. Hoito aloitettiin. Elokuussa hän sai oikomiskojeet (ClearSmile Brace) suuhunsa. Kojeet muistuttavat perinteisiä “rautoja”, mutta hampaiden värisinä ovat paljon huomaamattomammat.
“Ehkä puolet ystävistäni huomasi, että suussani on jotain. Poikaystävääkään oikomiskojeet eivät häirinneet, vaikka hänen mielestään koko oikomisjuttu olikin vähän tyttöjen höpötyksiä, Tiia hymyilee.”
Hän tottui kojeisiin parissa päivässä.
“Hampaita vähän kiristi, mutta odotin pahempaa. Särkylääkkeisiin ei tarvinnut turvautua missään vaiheessa.”
Kuukauden välein Tiia kävi tarkastuksessa, jossa kojeita säädettiin. Hammaslääkäriin menosta tuli miellyttävä velvollisuus.
“Ebelingille oli aina kiva mennä. Henkilökunta on supermukavaa ja Petterin kanssa oli hauska seurata hoidon etenemistä. Hän kertoi koko ajan, mitä tapahtuu, ja kuvista pystyin itsekin seuraamaan, miten hampaiden asennot muuttuivat hoidon aikana.”
Helmikuussa oikomiskojeet irrotettiin, ja Petteri viimeisteli lopputuloksen virheettömäksi esteettisillä kerrostusmuoveilla. Nyt kuluneet etuhampaiden kärjetkin ovat täydelliset. Lopputulos oli Tiian mukaan ehdottomasti rahan ja vaivan arvoinen.
“Aluksi sitä vain peilasi uusia hampaitaan kaikilta heijastavilta pinnoilta, hän nauraa. Vaikka poikaystäväni mielestä oikominen ei ollutkaan välttämätöntä, hänkin oli ällistynyt lopputuloksesta, että ‘tuliko niistä noin hienot’!”
Myös Tiian ystävät ovat kehuneet kaunista lopputulosta. Erityisen tyytyväinen hän on siihen, että hinta- ja aika-arvio pitivät paikkansa. Lisäkuluja ei tullut, eikä opiskelijan tarvinnut luopua mistään oikomishoidon takia.
Olen pelkästään esteettiseen hammashoitoon keskittynyt hammaslääkäri, kansainvälinen kouluttaja sekä luennoitsija. Otan vastaan asiakkaita eSmile:n Espoon vastaanotolla Kauppakeskus AINOAssa.
©Petteri Viljakainen