


"Hoito eteni kivuttomasti ja muutoksen huomasi yllättävän pian. Lopputulos on mielestäni parempi kuin olisin uskaltanut edes odottaa. Muutos oli tietysti toivottu, mutta en osannut etukäteen arvata kuinka suuri vaikutus sillä olisi itsevarmuuteeni hymyillä"
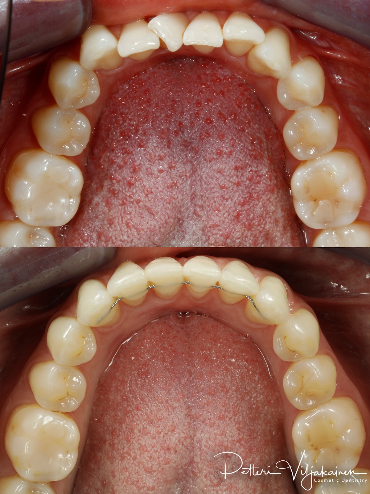
Saralotalle tehtiin 10 kk kestänyt oikomishoito Invisalign -oikomiskalvoilla. Hoidon lopuksi kuluneet hampaankärjet viimeisteltiin esteettisillä muovitäytteillä.
Olen pelkästään esteettiseen hammashoitoon keskittynyt hammaslääkäri, kansainvälinen kouluttaja sekä luennoitsija. Otan vastaan asiakkaita eSmile:n Espoon vastaanotolla Kauppakeskus AINOAssa.
©Petteri Viljakainen