



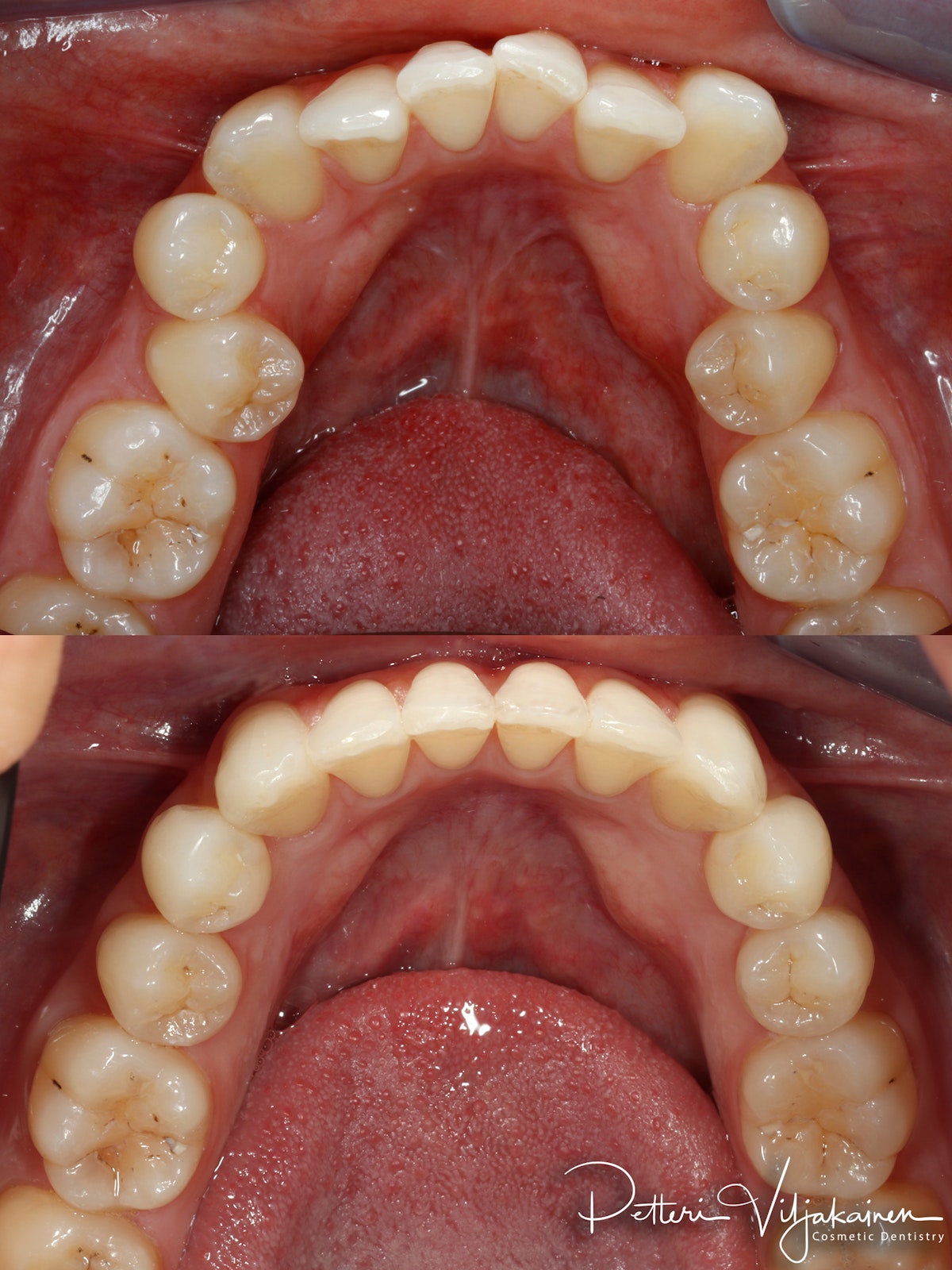
“Pitkä oikomisjakso takana, mutta nämä suorat hampaat oli todellakin kaiken sen arvoista! Kalvojen kanssa elämiseen tottui todella nopeasti, ja vain pari tuttua huomasi suussani jotain koko hoidon aikana, ellen erikseen maininnut asiasta. Muiden mielestä oikosmistarvetta ei edes olisi ollut, mutta kyllä nyt jälkeenpäin huomaa, kuinka vinkasallaan etenkin alahampaat ennen olivat. Nyt kelpaa hymyillä suoralla hammasrivistöllä! Suosittelen ehdottomasti Invisalignia kaikille, jotka vähänkin toivovat itselleen suorat hampaat."
Anniinalle tehtiin n. vuoden kestävä oikominen Invisalign -oikomiskalvoilla. Hoidon loputtua etuhampaiden pienet epäsymmetriat korjattiin hampaita poraamatta lisäämällä kärkiin ohut kerros esteettistä kerrostusmuovia.
Olen pelkästään esteettiseen hammashoitoon keskittynyt hammaslääkäri, kansainvälinen kouluttaja sekä luennoitsija. Otan vastaan asiakkaita eSmile:n Espoon vastaanotolla Kauppakeskus AINOAssa.
©Petteri Viljakainen